MINISH(ミニッシュ) | 韓国発・次世代の歯の修復ソリューション
TSUKIYAMA DENTAL CLINIC MINISH

歯を削らずに、
理想の美しい歯へ

自然な美しさと健康を守る
次世代の歯の修復ソリューション「MINISH」

無料カウンセリングを予約する
Clinic 1
Clinic 2
Clinic 3
Clinic 4
Clinic 5
Clinic 6
Clinic 7
Clinic 8
Clinic 9
Clinic 10
Clinic 11
Clinic 12

こんなお悩みはありませんか?

CONCERNS

前歯の隙間や形が気になる
歯の色がくすんでいて、ホワイトニングでは限界がある
歯並びを直したいが、矯正の時間はかけられない
健康な歯を必要以上に削ったり神経を抜くセラミック治療には抵抗がある
色、形、歯並びのすべてを、一度の治療で理想通りに整えたい

そのお悩み、
MINISH(ミニッシュ)が解決します。

MINISHとは?

ABOUT MINISH

MINISH Detail 1
MINISH Detail 2
MINISH Detail 3
MINISH Patient

天然歯のような美しさと機能性

MINISH(ミニッシュ)は、歯をほとんど削らず、天然歯とほぼ同じ物性の素材を歯の表面に接着する、韓国発の最先端歯科治療技術です。


従来のラミネートベニアとは異なり、歯の健康を第一に考え、エナメル質を保護しながら理想的なスマイルラインを形成します。

MINISHの特徴

FEATURES

01

歯をほぼ削らないため
麻酔を使わず施術します

不必要な歯の削除を行いません。エナメル質を温存するため、麻酔を使用せずに施術できるケースも多く、痛みや知覚過敏のリスクを最小限に抑えます。

02

最短2日で完了する
スピード治療

最新のデジタルスキャンと精密加工技術により、最短2日での施術完了が可能です。

03

天然歯のような
美しい透明感

天然歯と類似した透過性と強度を持つ素材を使用。人工的な白さではなく、自然で上品な口元を実現します。

世界基準の技術力

TECHNOLOGY & RELIABILITY

常に最新・最良の治療を

私たちは、米国や欧州の専門医資格を持つ歯科医師を中心とした専門チームです。学会や講習会への積極的な参加を通じ、常に世界基準の最新・最良の治療技術を研鑽し続けています。

科学的根拠(エビデンス)に基づいた精密な診断と、高度な技術提供を約束いたします。お口の健康と美しさを一生涯守り続けるための、妥協のない治療を体感してください。

ドクター紹介

DOCTORS

木戸 淳太

木戸 淳太Junta Kido

補綴(かぶせ物・審美)専門医

経歴

  • 長崎大学歯学部 卒業
  • タフツ大学歯学部補綴専門医課程卒業
  • 米国補綴学会 補綴専門医取得
  • 長崎大学歯学部臨床准教授
  • つきやま歯科医院 専門医療クリニック天神 副院長
築山 鉄平

築山 鉄平Teppei Tsukiyama

米国歯周病学会 認定医 / 欧州インプラント学会 認定医

経歴

  • 九州大学歯学部 卒業
  • 佐賀大学医学部 歯科口腔外科 勤務
  • タフツ大学歯学部歯周病科 最優秀臨床賞 受賞
  • 米国歯周病学会 歯周病インプラント認定医取得
  • タフツ大学歯学部審美補綴フェロー
  • タフツ大学 招聘臨床助教授
  • ヨーロッパインプラント学会 (EAO) 認定医取得

症例紹介

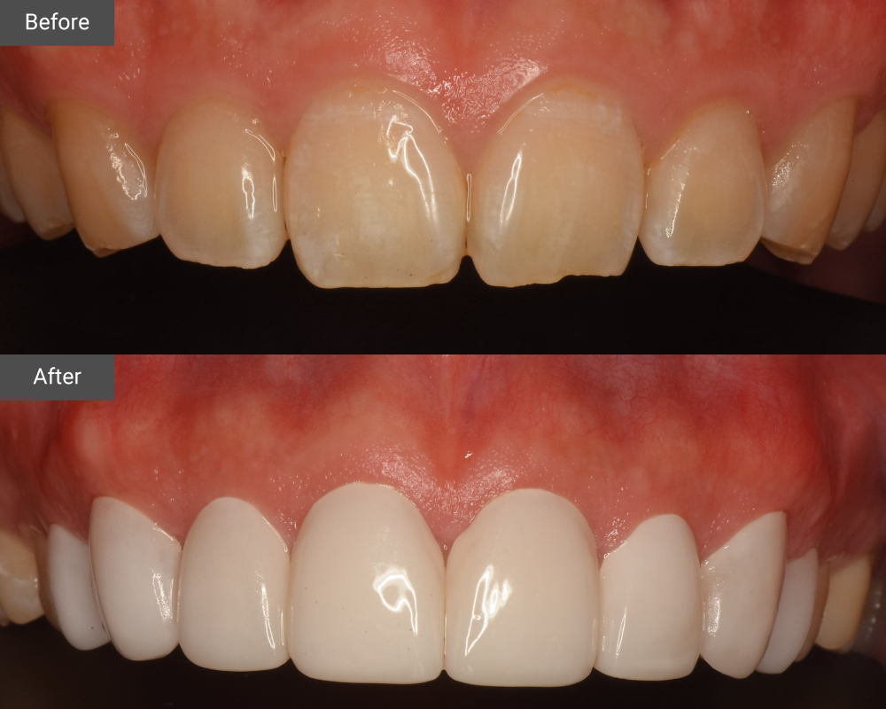
BEFORE / AFTER

Before After 1
Before After 2
Before After 3
Before After 4
Before After 1
Before After 2
Before After 3
Before After 4

※効果には個人差があります。詳細な診断はカウンセリングにて行います。

治療の流れ

FLOW

カウンセリング・精密検査・デザイン

お悩みをお伺いし、精密検査を行います。顔のバランスに合わせつつ、患者さんのご希望に沿った理想的な歯のデザインをシミュレーションします。

歯や歯肉の調整

MINISHを行うにあたり、歯や歯肉の形を最小限に整えて再度スキャンを行います。基本的に麻酔や粘土のような型取りは不要です。

MINISH製作・装着

精密に加工されたMINISHを試着し、実際にご覧いただいた上で了承を得られたら装着します。噛み合わせの調整を行い、完了です。

定期メンテナンス

美しさを長く保つため、定期的なチェックをおすすめしております。

よくあるご質問

Q&A

寿命はどれくらいですか?
適切なメンテナンスを行えば、10年以上良い状態を保つことが可能です。
食事制限はありますか?
装着直後は硬いものを避けていただきますが、定着後は通常の食事を楽しんでいただけます。
痛みはありますか?
歯をほとんど削らないため、麻酔を使用しないケースも多く、痛みは最小限です。

料金案内

PRICE

MINISH (1本) ¥150,000
※ミニマム6本から
カウンセリング 無料

当院では審美的な観点から、8本以上からの施術を推奨しております。
8本施術の場合:¥1,200,000

※料金は全て税込表示です。自由診療となります。

当院について

CLINIC

TSUKIYAMA DENTAL CLINIC

院長挨拶

美しさは細部に宿ります。私たちは、ただ歯を白くするだけでなく、患者様一人ひとりの個性を活かした「あなただけの美しさ」を引き出すお手伝いをいたします。


つきやま歯科医院 専門医療クリニック天神

〒810-0041 福岡県福岡市中央区大名1-14-8 バルビゾン93 2F
(ポール・スミス福岡店2F)
診療時間: 月〜土 9:00-13:00/14:00-17:30
休診日: 木曜日/日曜日

クリニック内装

無料カウンセリング予約・お問い合わせ

24時間受付中。専門スタッフが丁寧にお答えいたします。

予約・相談フォームはこちら
無料カウンセリング予約